Uveitis

Uveitis

Eye Care > Diseases of the Eye > Uveitis

What is Uveitis?

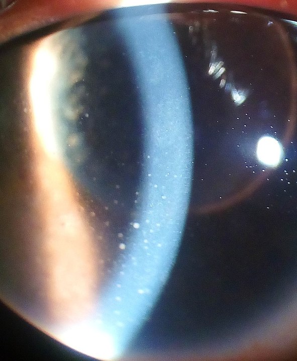
Uveitis is a general term that refers to inflammation or swelling of the eye’s structures responsible for its blood supply. These structures are collectively known as the uveal tract, and include the iris, ciliary body, and choroid. 

Uveitis is classified by the structures it affects, the underlying cause, and whether it is chronic (lasting more than 6 weeks), or acute in nature.

There are four main categories of uveitis.

Anterior uveitis (also known as iritis) involves the iris and ciliary body and is the most common type; intermediate uveitis affects the ciliary body, vitreous and retina; posterior uveitis involves the retina, choroid and optic nerve; and diffuse uveitis affects structures both in the front and back of the eye.

Common causes of uveitis include infection or underlying disease, but in some cases the cause is unknown. Uveitis usually affects people between 20-50 years of age.

Signs and Symptoms

The symptoms of uveitis depend on whether it is anterior, intermediate, posterior or diffuse.

Anterior

  • Light sensitivity
  • Blurred vision
  • Redness around the iris
  • Pain that may range from aching or soreness to intense discomfort
  • Small pupil
  • Tearing
  • Elevated intraocular pressure

Intermediate

  • Often affects both eyes
  • Floaters
  • Blurred vision

Posterior

  • Blurred vision
  • Pain (if the optic nerve is involved)

Diffuse

  • Combination of symptoms from anterior, intermediate, and posterior uveitis

Detection and Diagnosis

Uveitis is diagnosed with a thorough examination of the eye with a slit lamp microscope and ophthalmoscopy. Visual acuity and intraocular pressure are also evaluated. In some cases, blood work and others tests are required to rule out underlying systemic disease or infection.

Treatment

The appropriate treatment for uveitis is dependent on the severity of the disease and the ocular structures involved. Topical eye drops and/or oral medications are prescribed to reduce inflammation. In some cases, medication is required to lower the intraocular pressure.

After the inflammation has subsided, secondary conditions such as scar tissue, cataracts and glaucoma may require treatment.

Image by Imrankabirhossain – Own work, CC BY-SA 4.0,
https://commons.wikimedia.org/w/index.php?curid=59526676